The image shows a person smiling at the camera with their hand on their chin, wearing glasses and a white top, against a blurred background.

Smile Gallery

The image shows a close-up view of a person s mouth with yellowed teeth, indicating dental decay or poor oral hygiene.

Before

The image shows a person with a wide smile displaying a set of white teeth, showcasing their dental health and possibly promoting oral hygiene or dental services.

After

The image shows two close-up views of a person s teeth with discoloration, likely due to poor oral hygiene or staining, emphasizing the need for dental care and cleaning.

Before

The image shows a close-up view of teeth with yellow staining, suggesting poor oral hygiene or dental issues.

After

The image shows a close-up of a person s face with an exaggerated smile revealing a set of teeth with two front teeth missing, accompanied by a mustache.

Before

The image shows a close-up of a person s face with a smile, focusing on their teeth and lips.

After

The image displays a close-up view of a person s teeth with a focus on a dental implant.

Before

The image shows a close-up of a person s teeth with a focus on the front teeth, which are straight and white.

After

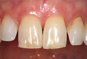
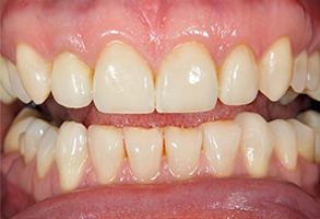
The image shows a close-up view of a person s teeth with discoloration and staining, indicating poor oral hygiene or dental issues.

Before

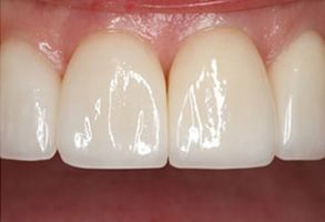
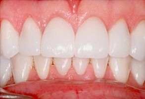
The image shows a close-up view of a person s teeth with a focus on their smile, highlighting the brightness and cleanliness of the teeth, which are set against a pinkish gum line.

After

The image shows a close-up view of a person s teeth with a focus on a large gap between two front teeth, which are yellowed, and the person appears to be missing some teeth.

Before

The image shows a close-up view of a person s teeth with a focus on a large gap between two front teeth, which are stained yellow and appear to be missing enamel, with a red gum line visible at the bottom of the frame.

After

The image shows a person s mouth with teeth that are discolored and possibly damaged, featuring yellowing and staining, with a prominent metal bracket across the front teeth.

Before

The image shows a close-up view of a person s teeth with a focus on their front teeth, which appear to be yellowed and possibly stained.

After

Schedule a visit today!
Contact Us
SMS Consent
Submit

Thank You!

We appreciate you taking the time to visit our site. We'll review your message and be in touch with you soon.

Continue
The image shows a hand pointing at an icon of an email envelope on a digital screen with a cityscape background, suggesting the concept of communication technology.